当院の胃カメラは,以前より画像強調内視鏡であるLCIという技術と,そして今年の4月からはAIを用いたCAD-EYEというシステムを組み合わせて胃カメラを行い,より早期の胃がんを検出できるよう努力しています(ともにFujifilm社製).
White-lightと呼ばれる通常の内視鏡とは異なり,LCIでは「色の違い」をより明瞭にすることで,胃癌は周囲の粘膜に比較してオレンジ色から赤色で示されて視認性が向上し,容易に検出できるようになっています.一方,AIシステムは胃がんの検出には有効なのですが,小さな病変や平坦な(陥凹性)病変を見逃す可能性が指摘されており,LCIとCAD-EYEを組み合わせることにより,この欠点を補う可能性が期待されています(J Gastroenterol 2023: 58; 1-13).
当院では今年の4月から胃カメラは常にLCI+CAD-EYEの組み合わせで検査を実施しています.検査をお受けになる皆様には,ぜひ,最新の内視鏡検査システムであることをご理解頂き,安心して頂ければと思っています.
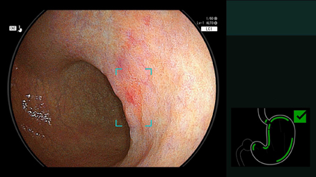
LCI+CAD-EYEについては私も「月刊新医療2023年9月号」で解説しています.下記は当院における内視鏡システムと検出された早期胃がん(LCIにて病変部はオレンジ色~赤色に描出され,CAD-EYEによってカギ括弧で示されています)の写真です.


(井上拓也,月刊新医療2023年9月号より引用)
ーーーーー
先月,吉野に行ってきました.紅葉が素晴らしく,美しい景色を楽しむことができました.下記の写真はその際に撮影し,2枚ともほぼ同じ場所・同時刻のものです.どちらがより鮮やかでしょうか?LCIもこのような感じです(上が通常内視鏡,下がLCIのイメージです).





